Дослідження. Як нейрони мозку впливають на наш вибір?
Наше повсякденне життя сповнене різних дилем, і кожному з нас час від часу доводиться обирати між декількома варіантами. Іноді наш вибір може опиратися на інтуїтивні відчуття і, виявляється, цьому є пояснення. Розповідаємо, як наш мозок приймає рішення та чому наші судження бувають суб’єктивні.
Вибір – це накопичення альтернатив
Ще у 18 столітті економісти Даніель Бернуллі, Адам Сміт та Джеремі Бентам досліджували те, як люди роблять вибір. Вони пропонували приймати рішення, спираючись на суб’єктивну вартість кожної пропозиції, тобто на кількість, якість, ціну та ймовірність реального отримання обіцяної пропозиції.
Потрібно було майже три століття, щоб знайти перші конкретні докази таких обчислень та порівнянь у мозку.
Дослідження нейрофізіології вибору 2006 року свідчать, що прийняття рішення – це процес, який відбувається внаслідок накопичення доказів на користь різних альтернатив. Оптимальне прийняття рішення залежить від достатньої кількости інформації для вибору необхідного результату.
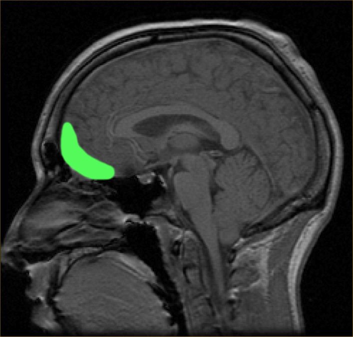
Отже, коли ви міркуєте, з’їсти на десерт морозиво чи шоколадний торт – за вибір найкращого варіанту для вас відповідає орбітофронтальна кора мозку, розташована прямо над нашими очима.

Пацієнти з пошкодженням цієї ділянки мозку не тільки роблять неправильний вибір – вони ще й використовують несумісну інформацію, коли між чимось вагаються.
Наприклад, звичайні люди можуть обирати між різними варіантами житла, використовуючи стратегію внутрішнього атрибуту: спочатку порівнюють атрибут «ціна» у всіх варіантах, потім атрибут «місцезнаходження» і так далі. Пацієнти з пошкодженням, як правило, використовують іншу стратегію порівняння варіантів. Спочатку вони визначають вартість, розмір, місцерозташування для окремого варіанту будинку, а потім – різну інформацію про інший варіант житла.
Мавпи та яблучний сік
І ось нещодавно вчені з Медичної школи Вашингтонського університету провели дослідження на мавпах, яке показало – активність нейронів у мозку пов’язана із суб’єктивною цінністю варіантів та визначає прийняття остаточного рішення. До того ж кожен варіант активує окремий набір нейронів у мозку. Що привабливіша пропозиція, то швидше спрацьовують відповідні нейрони.
В експериментах дослідники дозволяли тваринам обирати між різними смаковими добавками.
Учені пропонували мавпам 2 напої та реєстрували їх остаточний вибір. Напої були в різних кількостях. Мавпи могли обрати будь-що: лимонад, виноградний сік, вишневий сік, персиковий сік, фруктовий пунш, яблучний сік, журавлинний сік, м’ятний чай, ківі-пунш, кавуновий сік та підсолену воду. Часто вони віддавали перевагу одному смаку перед іншим, проте додатково воліли отримувати декілька напоїв одночасно, тому вибір не завжди був простий.

Потім дослідники помістили крихітні електроди в орбітофронтальну кору кожної мавпи. Електроди безболісно стимулювали нейрони, що представляють цінність кожного варіанту. Кожна мавпа вказала на свій вибір, лише кинувши на неї погляд.
Коли мавпі пропонували напої, нейрони, що відповідають кожному варіанту, почали швидше активуватися. З погляду мавпи обидва напої стали привабливіші, але завдяки способу кодування значень у мозку, привабливість одного варіанту зросла.
«Ми виявили нейрони, що кодують суб’єктивні цінності, але ціннісні сигнали можуть керувати різними способами поведінки, а не лише вибором. Вони можуть керувати навчанням, емоціями, перцептивною увагою та аспектами моторного контролю. Нам потрібно було показати, що ціннісні сигнали в певній частині мозку визначають вибір.
Коли ми говоримо про вибір, мозок мавпи та людини здаються дуже схожими. Ми вважаємо, що такий нейронний ланцюг лежить в основі будь-якого вибору, який роблять люди. Наприклад, між різними стравами в меню ресторану, фінансовими вкладеннями чи кандидатами на виборах. Цей нейронний ланцюг впливає навіть на такі важливі життєві рішення, як наприклад, вибір кар’єри або партнера/-ки. Дуже часто наш вибір ґрунтується на суб’єктивних уподобаннях.
У ряді нервових та психічних розладів пацієнти постійно роблять неправильний вибір, але ми не розуміємо, чому саме це відбувається. Зараз ми знайшли одну важливу частину цієї головоломки. Проливаючи світло на нервові механізми, що лежать в основі вибору, ми глибше розуміємо природу таких розладів», – ділиться старший автор дослідження та професор нейрології Камілло Падоа-Шіоппа.
Отже, докладне розуміння того, як мозок оцінює варіанти та робиться вибір, допоможе вченим зрозуміти, як приймають рішення люди з наркозалежністю, розладами харчової поведінки, депресією та шизофренією.